Hull i tannen

Hull i tannen kan starte med små stikk av smerte eller ising – og utvikle seg til kraftig tannverk. Hos Strømmen Tannhelse får du rask, trygg og smertefri behandling slik at du kan spise og smile igjen uten bekymringer.

Bestill time
Hull i tannen behandling hos Strømmen Tannhelse – moderne og smertefri fylling

Hvem denne behandlingen passer for, og hva du kan forvente

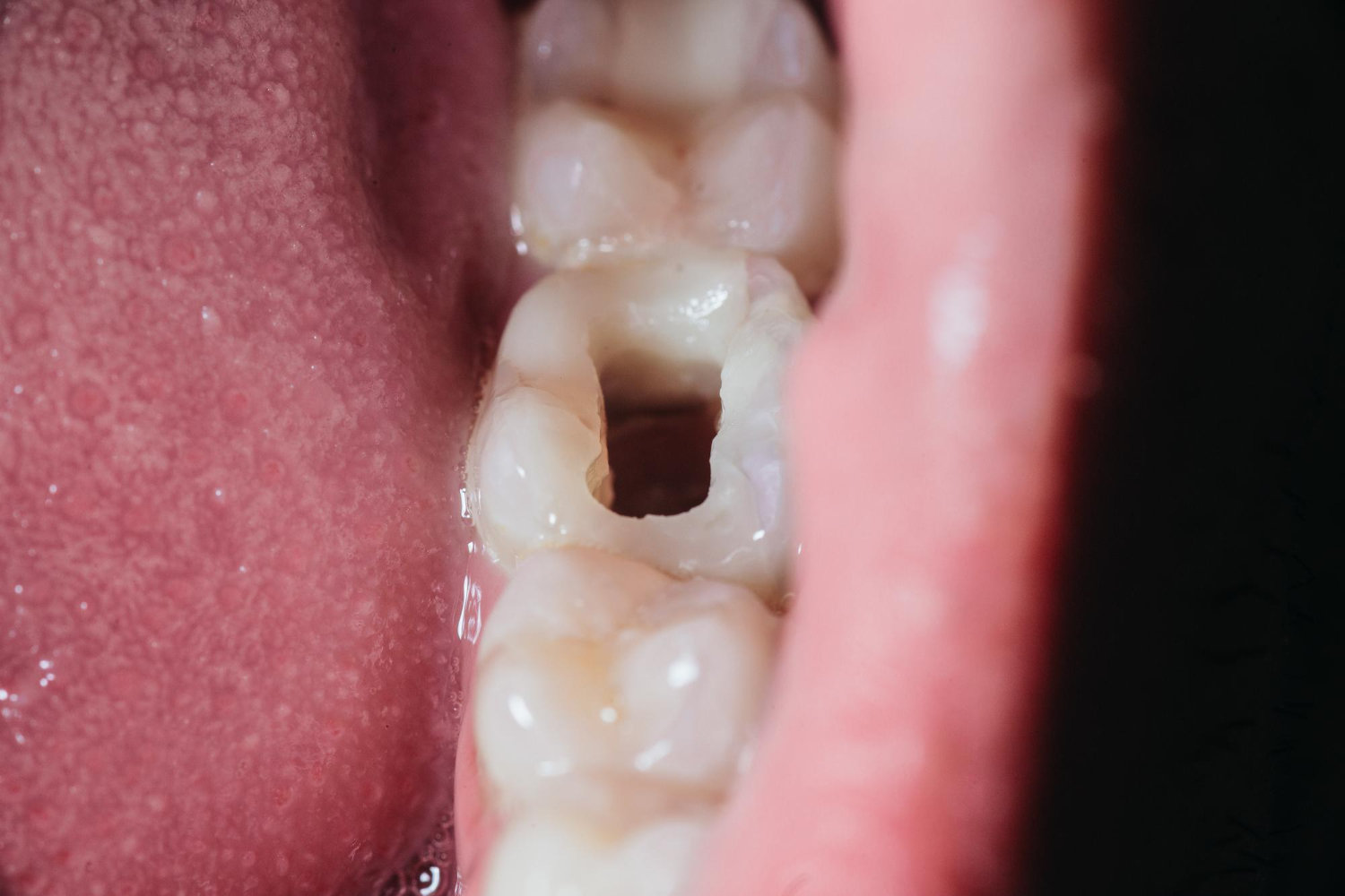
Hull, eller karies, oppstår når bakterier bryter ned tannemaljen. Ubehandlet kan dette utvikle seg til store skader og behov for rotfylling eller trekking. Med en fylling stopper vi utviklingen, beskytter tannen og forhindrer videre problemer. Vi bruker alltid tannfargede fyllinger som ser naturlige ut og gir et varig resultat.

Hvorfor velge oss for behandling av hull?

  • Skånsom behandling med moderne komposittfyllinger
  • Erfarne tannleger som tar ekstra hensyn ved tannlegeskrekk
  • Rask time – vi prioriterer pasienter med smerter
  • Tydelig prisoverslag før behandling
  • Pasienter fra hele Romerike velger oss for trygg behandling
Fornøyd tannlege og pasient hos Strømmen Tannhelse

Bli kjent med behandlingen

Vi starter alltid med en undersøkelse for å vurdere skadens omfang. Deretter fjerner vi bakteriene skånsomt og fyller tannen med kompositt. Hele prosessen tar vanligvis under en time, og med bedøvelse opplever de fleste ingen smerte. Hos Strømmen Tannhelse legger vi stor vekt på trygghet og ro, spesielt for pasienter som gruer seg til tannlegebesøk.

Prisen avhenger av størrelse og antall flater som må fylles. 1 flate: fra 1 190 kr. 2 flater: fra 1 890 kr. 3 flater: fra 2 790 kr. 4 flater: fra 2 990 kr. Se vår prisliste for detaljer.
Hull kan gi ising eller tannverk, men i tidlig fase merkes det ofte ikke. Derfor er jevnlige undersøkelser og røntgen viktig for å oppdage hull tidlig.
Nei. Med lokalbedøvelse er behandlingen smertefri, og mange pasienter blir overrasket over hvor enkelt det er.
En komposittfylling kan vare 8–12 år eller mer, avhengig av tann og munnhygiene. Regelmessig oppfølging sikrer lang levetid.
Da kan hullet utvikle seg til betennelse i nerven med behov for rotfylling eller trekking. Tidlig behandling er alltid enklere, tryggere og rimeligere.

Anmeldelser

Våre pasienter sin opplevelse

Anbefales!🙂

Jeg trakk en tann igår,og det ble gjort 100% smertefritt. Jeg har aldri vært hos en bedre,hyggeligere og imøtekommende tannlege. Mitt neste tannlegebesøk blir hos Strømmen tannhelse..uten tvil🙂

Profilbilde av Øivind Volla

Øivind Volla

Very professional

Every time I've called and made an appointment, I kinda made it difficult for them (came with a swelling, or worse) and every time I was offered an impecable service. Im coming from the other side of the city to them because I've seen and experienced the good work they do.

Profilbilde av Paul Zamfiroiu

Paul Zamfiroiu

Meget flink tannlege.

Aldri har jeg vel blitt tatt så godt i mot og forstått.Tannleger er min skrekk , men i dag har du forandret det Prashant Saroff. Tusen takk 🌺

Profilbilde av Wenche Hoff

Wenche Hoff

Bestill time hos oss i dag!

Enten du kommer for en rutinekontroll eller en mer avansert behandling, sørger vi for at tannhelsen din er i de beste hender og hjelper deg med å oppnå et trygt og sunt smil.

Bestill time